マウスピース矯正
マウスピース矯正とは?
今、マウスピース矯正がなぜ人気なのか?
その理由は4つあります。
治療中も笑顔に!目立たない矯正装置
マウスピース矯正の一番のメリットは、装置が目立たないことです!
薄く透明に近い、医療用プラスチック製の装置は、装着していても着けていることがほとんど分かりません。
マウスピース矯正は、治療中の見た目が気になる方、人と接する機会の多い方などにおすすめの矯正治療法です。
装置を外して、食事ができる!
他の矯正装置とは違って、患者さまご自身の手で取り外しができることが大きな特徴のひとつ。
マウスピース矯正は、食事の時には取り外すことができるので、装置に食べ物が詰まる心配なく、治療中も普段通りに食事ができます。
毎日の食事を楽しみたい方にはピッタリです。
むし歯や歯周病になりづらい!
通常の矯正装置は、ワイヤーやブラケットで掃除がしづらく、装置を外すとほとんどの方がむし歯や歯周病になっていました。
一方で取り外しができるマウスピース型の矯正装置は、毎日の掃除もしやすく、清潔なお口の中を保ちやすいです。
治療期間中も快適!
マウスピース型の矯正装置は金属を使用せず、また、段階的に歯を動かしながら歯並びを矯正するため、従来の矯正方法と比べて痛みが少なく、唇や口の中の粘膜などを傷つけてしまう心配がありません。
治療期間中に装置が歯から外れてしまうなどの、緊急性が少ないことも特徴のひとつです。
マウスピース矯正が難しい症例
歯の向きが悪い状態(出っ歯)
歯が重なり過ぎ
マウスピース矯正治療で最も挙げられるデメリットが「適応症例が限られる点」です。どのようなケースが非適応になるのかというと、「歯根の移動量が大きい症例」があります。
例えば、「前歯の深咬み(過蓋咬合)」と「口元が出ている(上顎前突)」といった治療などは、抜歯の必要性があるなど前歯の移動量が大きいので、マウスピース矯正では難しく通常のワイヤー矯正が最も適した矯正法です。
ただし、前歯の後方移動も量を減らせばマウスピース矯正でも適応できる事はあります。
100点満点の歯並びを目指すのであればワイヤー矯正でないと治せないけれども、80点・90点でも良いのであればマウスピース矯正でも治すことができるケースは幅広いとも言い換えられます。
いずれにしましても、どのようなケースでマウスピース矯正が適用なのか、また非適応なのかは、「診断してみるのが一番」です。
当院はアソアライナーを採用しています
アソアライナーは、矯正装置を開発・製造する日本最大の技工所、アソインターナショナルのマウスピース矯正です。マウスピース矯正はインビザラインが最も有名ですが、日本で製造され、国内で最も普及しているマウスピース矯正が、アソアライナーです。
歯を抜いて強制的に隙間を作るのがこれまでの「抜歯矯正」であるのに対し、コンピューターで精密に計算されたマウスピースの力で歯を移動させるのがアソアライナ―です。
アソアライナーの
治療STEP
-
STEP
01
まず患者さんの歯型を採ります。
シミュレーションプログラムを使って、「アソアライナ―による矯正治療が可能か?」「最終的にどのような歯並びになるか?」を診断致します。 - STEP 02 Aligner Aid Program(アライナー・エイド・プログラム)というコンピュータソフト上で移動量や回転角度などを綿密に計算し、理想の歯並びに近付けるように、少しだけ歯を移動させた模型を作製します。(最初から理想的な歯並びの模型からアソアライナ―を作っても、実際のお口にはフィットしませんので、0.5~1mm単位で少しずつ歯を動かした模型を用います。)
- STEP 03 次にその模型をもとに透明ラミネートを圧接成型し、次のアソアライナ―を作製します。
- STEP 04 出来るだけ長時間(1日約20時間。原則的には食事と歯磨きの時以外は常に)、アソアライナ―をお口の中に入れて 噛むことで、歯型と同じように歯が動いてゆきます。
- STEP 05 約2週間に1度ご来院いただき新しいアソアライナ―をお渡しします。
- STEP 06 1~5の行程を繰り返し、歯並びを整えてゆきます。(期間、回数は歯並びの状態によって変わります。)
アソアライナー
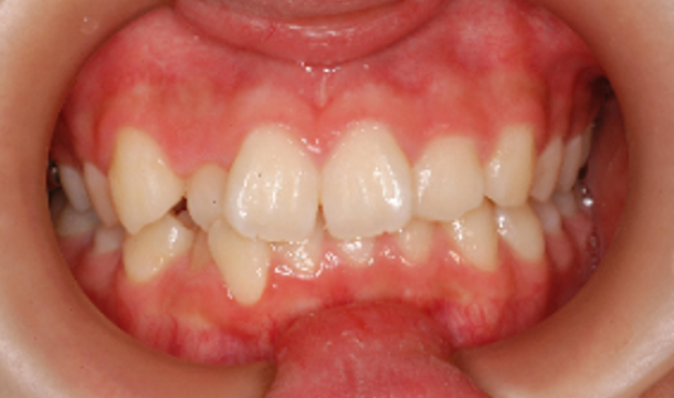
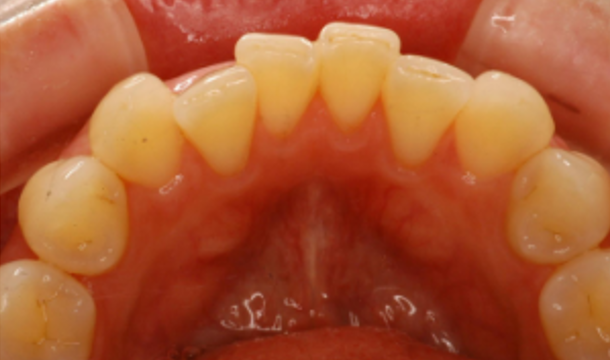
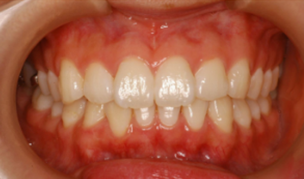
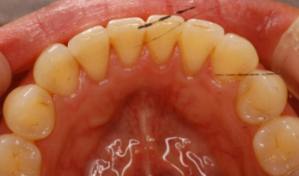
ビフォーアフター
コンピューター上での計測の図
歯の動きを予測し、無理のない矯正計画がシミュレーションできます
いつが矯正治療のタイミング?
よく患者さんに「いつが矯正治療するのに最適ですか?」と質問をお受けします。
これは、はっきり申し上げると、「おかしいと気がついた時が最適なタイミング」です。
早め早めの矯正が、結果的に治療も早く済み、費用も安く抑えられるのです。
(※但し、アソアライナーは永久歯が生え揃ってからの矯正開始となります。)
では、何をもっておかしいと判断すればいいのか?
そんなに難しく考えなくても構いません。
ちょっとした歯ならびのずれなど、ほんの少しでも「おかしいなぁ・・・」と思われたときにお気軽にご相談ください。
治療に際してご不明点、ご不安な点がございましたらお気軽におたずねください。


